
Now, I'm sure we all love a bit of Pad Thai, a hearty bowl of Tom Yum soup and the nation's go-to - a Thai green chicken curry - but there's one particular dish from the famed cuisine that could be disastrous for your health.
So much so that even just a single bite of the dish could end up giving you liver cancer.
The carcinogenic chow is so deadly - it is believed to be responsible for the deaths of a staggering 20,000 people in Thailand every single year.

Advert
Now, while its definitely not some scran you're likely to see on your local Thai takeaway menu - the dish in question is extremely popular in the Thai province of Khon Kaen.
It's known as koi pla, which is a plate of minced raw fish ground up with herbs, spices, and lemon juice and is eaten by millions of Thai people, but is particularly popular in one of the nation’s poorest provinces, Isaan.
Now, it is not actually the fish that causes those who eat it to develop fatal liver cancer but the parasitic flatworms - or live flukes - that live inside them.
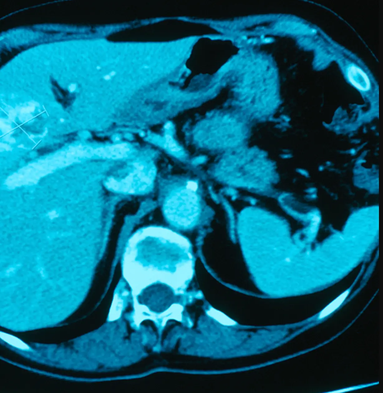
The parasites are native to fresh water fish in the Mekong region, leaving Isaan to have the highest reported instance of cholangiocarcinoma, or bile duct cancer, in the world due to the heavy consumption of the raw fish meal.
A doctor in Thailand, Narong Khuntikeo, is currently working to fight against the delicacy after both his parents tragically died from liver cancer after consuming it.

"It’s a very big health burden around here," liver surgeon Narong Khuntikeo told Agence France-Presse.
He continued: "But nobody knows about this because they die quietly, like leaves falling from a tree."
The 'silent killer' disease has one of the lowest survival rates of all cancers if left untreated by surgery.
Khuntikeo, joined by scientists, doctors and anthropologists, have now spent four years testing villagers from the Isaan region for the parasite.
Using ultrasound machines and urine testing kits, the doctor found that as much as 80 per cent of inhabitants from some communities were found to have ingested the deadly parasite.
While he's trying to spread information and warnings over the koi pla dish - alongside local health officials have introducing a school curriculum geared at teaching children about the risks of raw foods - Khuntikeo has said he's faced issues with the older generation.
"They’ll say: 'Oh well, there are many ways to die'," the health professional said.
"But I cannot accept this answer."
Those resistant to change despite the health risk attached claim that cooking the fish - the best way to kill the parasite - completely ruins the taste.
Topics: Cancer, Food And Drink, Health, News, World News